A Domicilio Salud
0810-333-4002

Sentarse mal en el trabajo, una mala costumbre

En general, no se le suele dar importancia a la posición en la que se pasa gran parte del día en el trabajo, pero adoptar una buena postura es importante. Según la Organización Mundial de la Salud  (OMS), entre un 60% y un 80% de la población es susceptible a padecer dolores lumbares o cervicales en algún momento de su…

Argentina: Riesgos y desafíos de las enfermedades laborales

Desde el año 2003, la Organización Internacional del Trabajo (OIT) designó al 28 de abril como el Día Mundial de la Seguridad y la Salud en el Trabajo. Junto con la Organización Panamericana de la Salud (OPS), promueven el trabajo seguro, saludable y decente y además rinden homenaje a las víctimas de los accidentes de trabajo y las enfermedades profesionales.…

Día Mundial de la Meningitis

El Día Mundial de la Meningitis (24 de abril) es la fecha escogida por la Confederación de Pacientes de Meningitis (CoMO) dentro de la semana de la inmunización de la Organización Mundial de la Salud (OMS) para hacer una llamada de atención e informar todos los años sobre una enfermedad que a nivel global afecta anualmente a más de 1…

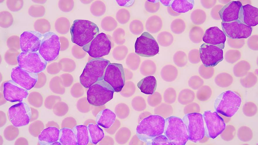
Avances contra la leucemia aguda más frecuente en adultos

El 21 de abril se conmemora el Día Mundial de la concientización sobre la leucemia mieloide aguda (LMA), una ocasión para informar sobre esta condición, que es una enfermedad oncohematológica capaz de propagarse rápidamente y conforma el tipo de leucemia aguda más común en los adultos. Por eso, desde la Fundación para Combatir la Leucemia (Fundaleu) remarcan la importancia del…

1 de cada 4 adultos no realiza suficiente Actividad Física

La inactividad física es uno de los principales factores de riesgo de padecer enfermedades no transmisibles, como las enfermedades cardiovasculares, el cáncer, el sobrepeso, la obesidad y la diabetes, convirtiéndose en uno de los principales factores de riesgo de mortalidad a nivel mundial. La Organización mundial de la Salud afirma que a nivel mundial, uno de cada cuatro adultos y…

Consejos para lograr un descanso nocturno reparador

Generalmente, las personas que padecen insomnio suelen buscar soluciones espontáneas al problema, utilizando a veces estrategias que aumentan la dificultad para dormir. Por el contrario, es importante educar al paciente para que desarrolle hábitos y actitudes más compatibles con el dormir, minimizando o eliminado factores externos que contribuyen al problema[2]. Por este motivo, expertos aconsejan seguir estos 8 consejos para…

Diabetes: prevenir desde la alimentación una enfermedad que afecta a 1 de cada 10 argentinas

Cuando el páncreas no produce la cantidad suficiente de insulina o cuando el organismo no la utiliza eficazmente, estamos ante un caso de diabetes que, si no se controla, genera hiperglucemia, es decir, un aumento del azúcar en sangre. Esta enfermedad crónica no transmisible afecta a unos 422 millones de personas a nivel mundial (según la Organización Mundial de la…

A Domicilio Salud

A Domiclio Salud | Powered by Praga Comunicación